Tooth loss is something most people assume only happens later in life—but the truth is, it can strike at any age. From sports mishaps to gum disease, losing a tooth isn’t just about the gap it leaves in your smile; it’s about the ripple effect on health, confidence, and everyday comfort. The good news? Modern dentistry has completely transformed how we deal with missing teeth, offering solutions that are as stylish as they are functional.
Why Do Teeth Go Missing?
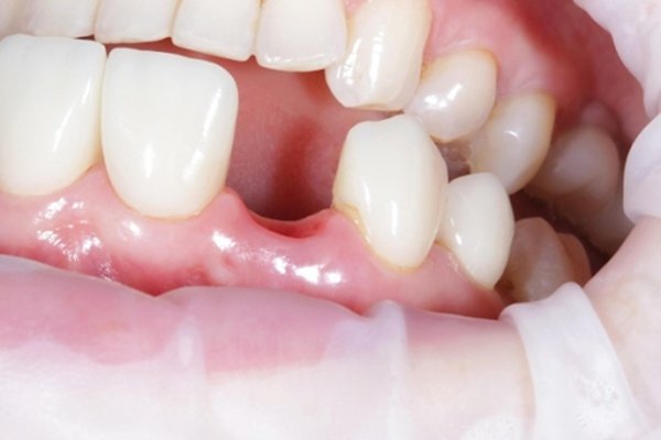
Tooth loss doesn’t have a single culprit—it’s more like a team of troublemakers working against your smile.
- Gum disease (periodontitis): The number one offender, quietly damaging gums and bone until teeth loosen.
- Decay gone too far: Cavities that aren’t treated in time can destroy a tooth beyond repair.
- Accidents and sports injuries: A wrong move on the field—or a fall—can knock out even the healthiest tooth.
- Genetics and wear: Sometimes it’s simply your DNA or decades of grinding that take their toll.
And here’s the kicker: once one tooth goes missing, the rest of your smile starts shifting, making chewing, speaking, and even jaw health more complicated.
More Than a Smile: The Hidden Consequences
Think missing a tooth just affects your selfie game? Think again.
- Chewing challenges: Suddenly, crunchy apples or chewy steak can feel like hard work.
- Speech quirks: Gaps change the way your tongue hits certain sounds, which can be surprisingly frustrating.
- Bone loss in the jaw: Teeth aren’t just for chewing—they keep your jawbone stimulated and strong. Without them, the bone slowly shrinks.
- Confidence dips: That little gap may feel huge in social settings, sometimes leading people to smile less—or avoid the camera altogether.
The Modern Fix: Stylish, Comfortable, and Practical
The days of clunky, uncomfortable false teeth are long gone. Today’s solutions are sleek, discreet, and designed to fit modern lifestyles.
- Dental implants: These are the “gold standard”—a titanium post fused into the jaw with a realistic crown on top. They look and feel like the real deal.
- Bridges: A time-tested option that anchors an artificial tooth between healthy ones.
- Dentures : Forget the bulky versions your grandparents wore. Today’s options include lightweight dentures for comfort, designed to feel natural and look just like your original teeth.
For many, dentures offer the perfect balance of affordability, comfort, and cosmetic appeal—especially with new materials and designs that are easy to wear all day.
Living Well After Tooth Loss
Replacing a tooth isn’t just about functionality—it’s about reclaiming your lifestyle. Imagine enjoying a dinner out without worrying about chewing difficulties, or smiling in group photos without a second thought. The right dental solution can give you that freedom back.
Dentists today focus on tailoring treatments to individual needs, whether you’re looking for the permanent security of implants or the flexible ease of dentures. And the benefits go beyond physical: regaining your smile can have a profound emotional lift.
A Smile That Fits Your Story
Tooth loss doesn’t have to be a dead end—it can be the beginning of a comeback. With modern dentistry, you don’t just replace what’s missing; you upgrade. Your smile is more than a set of teeth—it’s part of your identity, your confidence, and your way of connecting with the world.
For many, the solution isn’t just about function—it’s also about healing from the emotional impact of tooth loss, and stepping back into life with confidence.

